Artefakte III, Kapitel 6,1 :
Abgrenzung von Artefakten gegen Fakten der Physik, der Projektion oder Varianten. Bilder 6.01 – 6.11
14.11.25.
Besonderheiten der Physik, aber auch die Vielgestaltigkeit der Pathologie Artefakt verkannt werden. Dagegen helfen nur Kenntnisse solcher Zusammenhänge.
In den beiden vorangegangenen Beiträgen ging es um die Frage: Was stört beim Röntgen? Was führt zu Fehlern? Was führt zu diagnostischen Problemen, zu Fallstricken? Eine große Gruppe von Übeltätern war schnell ausgemacht: Es sind Artefakte, also Kunstprodukte, die aus den unterschiedlichsten Gründen die “Bildgebende Diagnostik” qualitativ in Misskredit bringen können. Ein Code, ein Schema wurde in Beitrag 10 definiert für die unterschiedlichsten Ursachen von Artefakten. Erkann als Schmitt-Buxbaum-Code benannt werden. So kann man (mit Hilfe von Strg F) nach ganz bestimmten Artefakten suchen.
Beim Studium der “Artefakteim Röntgenbild” stellte sich heraus, dass deren Definition schwierig sein kann. Manchmal handelt es sich gar nicht um technische/menschliche Fehler, sondern um ungewöhnliche Befunde und unverstandene physikalische Phänomene. Hier gibt es einen Grenzbereich, der anhand weiterer Bilder erläutert werden soll.
In diesem Kapitel bewegen wir uns sozusagen weg vom Artefakt und schenken natürlichen Phänomene (der Physis) unsere Aufmerksamkeit. Es geht um Phänomene, die als Kunstprodukte verkannt werden könnten, wenn sie nicht verstanden wurde. Diese Gegenüberstellung ist nützlich für die KollegInnen, die sich in diese Materie einarbeiten. Für die Erfahrenen ist es eine – hoffentlich amüsante – Wiederholung. Mehrfach werden Untersuchungsverfahren gezeigt, die nicht mehr modern sind und dem Betrachter dadurch zusätzliches Kopfzerbrechen bereiten.
Besonderheiten der “Physis”, die diagnostisch eingeornet werden müssen:
a.) Physikalische Phänomene
b.) Physiologische Phänomene
c.) Projektion
d.) Anatomische Besonderheiten (und/oder Varianten)
a. Physikalische Phänomene können zu einer scheinbaren Beeinträchtigung von Bildern führen. Etwas lässt sich nicht so gut darstellen, wie wir es erwarten. Es wird leicht angenommen, dass hier etwas “künstlich verschlechtert” wurde, wie es für das Artefakt typisch ist.
Der Fehler liegt hier nicht in unerwünschten Bedingungen der Untersuchung, sondern ist prinzipieller Natur. Eine scheinbar “schlechte” Bildqualität kann entstehen, weil sich die Natur nicht überlisten lässt.
Der Fehler liegt in der Unwissenheit des Betrachters.
Klassische Beispiele:
– Röntgenstrahlen sind im Allgemeinen faszinierend. Im Einzelfall kann das Verfahren aber auch sehr enttäuschen, d.h. etwas Erwartetes gar nicht oder sehr schlecht dargestellt werden (4 Körper…). Oft hilft in diesem enttäuschenden Fall “die zweite Ebene”; sie bringt Klarheit (Axtverletzung, Hüftgelenk 2, Ebenen). gelegentlich reichen auch 2 Ebenen nicht aus, dann sind zusätzliche Aufnahmen oder gleich ein Schichtverfahren notwendig (siehe Radiusköpfchen, Navikularefraktur).
– Große Lungenmetastasen sind weißer als kleine, dies ist der “Summationseffekt”. Wird dieser nicht verstanden, wird eine “Verkalkung” dieser größeren Metastasen angenommen.
– Die Anzahl der Schrauben (Fremdkörper) ist zu gering angegeben, weil eine Schraube die andere überdeckt . (Fall Sprunggelenk)
– Geometrischer Vergrösserungsfaktor, kann überschätzt (1.06………….) oder unterschätzt (1.07b…….) werden.
– Geometrische Unschärfe. Wurde früher bei bestimmten Techniken auch zur Unterdrückung von überlagernden Stukturen ausgenutzt. – Bei der heutigen Röntgentechnik kann Unschärfe ein Hinweis auf eine zu lange Belichtungszeit und damit auf zu niedrigen Kv sein.
–Strahlungs-Aufhärtung, beam hardeing effect wurde im letzten Beitrag angesprochen. Ein Artikel in Wikipedia vom Verfasser befasst sich damit. Die fantastische Möglichkeit mit der CT Zahlenwerte für die Strahlenschwächung bestimmter Gewebe zu gewinnen, wird durch die Nachbarschaft von Knochen (in noch mehr von Metall-Implantaten) verfälscht. Der Effekt entsteht, weil wir gewöhnlich in der CT kein monochromatisches Röntgenlicht verwenden sondern eine Spektrum an Strahlung.
– Teilvolumeneffekt. Ist durch die Computertomographie bekannt geworden. (Gibt es natürlich schon immer beim Röntgen, dort heißt er Summationseffekt):
Das Volumenelement (Voxel) der CT kann mehrere charakteristische Gewebe erfassen. Das Bildresultat der Messung dieses Voxels ist das Pixel; es ergibt sich eine Mischung der erfassten Komponenten.
– Statistische Störung. Die Densitometrie über eine zu kleine Region wird durch statistisches Rauschen gestört und ist nicht ausreichend repräsentativ.
– Bewegungsartefakte stören und verfälschen das Ergebnis der Densitometrie.
c. Zur “Physik” gehört auch die nicht normgerechte Projektion (siehe Einstelltechnik).
d. Auch anatomische Besonderheiten sind von künstlichen Produkten abzugrenzen. Solche Varianten der Physik ordne ich diesem Kapitel zu.
Es gibt klassische Streitfälle in der Geschichte der Radiologie, ob eine bestimmte Veränderung eine angeborene Variante oder ein pathologischer Prozess ist. Wer ein Beispiel und den Gang der klärenden Argumentation studieren will: 03 “Frakturheilung”.
Es ist die Absicht dieses Beitrags, hier klare Grenzen zu ziehen: Die physikalischen Phänomene sollen verstanden und nicht als Artefakte verkannt werden.
Abb. 6.01: Abhängigkeit des Röntgenbildes sowohl von der Dosis als auch von der Spannung (kV)

6.01: Beim Strahlenschutzkurs in Würzburg wurde von den Dozenten diskutiert, wie man diese Frage in einem Bild darstellen könnte.
Ich stelle die eigene Lösung vor. Allerdings ist es eine digital erzeugte, sozusagen ohne besonderen Arbeitsaufwand.
Trauben vom Sylvaner aus dem Julusspital. (Mein Krankenhaus hat die Besonderheit, dass es auch Wein produziert).
Oben sind die überexponierten,
unten die unterexponierten Bilder.
Links die Bilder mit niedriger kV: sehr kontrastreich,
rechts mit höherer kV (kontrastarm, aber besseres Objektfeld).
Sind diese Bilder gut?
Überwiegend nei! Wir müssen fast alle Bilder verwerfen! Die unteren sind zu hell, die oberen zu dunkel. Links zu viel Kontrast (d.h. zu hell und zu dunkel im
Bild).
Das Bild in der Mitte rechts ist akzeptabel. Wir lernen daraus: Ein bestimmtes Objekt soll mit der richtigen Dosis und der richtigen Strahlenqualität (= kV) geröntgt werden.
Richtige kV bedeutet auch aus Strahlenschutzgründen: nicht zu niedrige kV.
Eine zu niedrige Dosis ist auch eine Fehlerquelle, weil Informationen verloren gehen.
Zu viel Dosis ist natürlich schlecht für den Strahlenschutz.
Kenner werden vermuten, dass diese Bilder “gefälscht” (“fake”) sind: Sie sind im Computer simuliert; einer Variation von kV und mAs täuschend ähnlich . In “100 Jahre Röntgen, 100 Rätsel” WGH Schmitt wird dies am Beispiel einer seitlichen Halswirbelsäule demonstriert.
Die gute Nachricht: Im digitalen Bild können Fehler durch Schwärzung und Kontrast (= Fenstermitte und Fensterbreite) ausgeglichen werden. Es ist, als ob wir Kv und mAs nachträglich korrigieren könnten. Das stößt leider an Grenzen. Wo Dosis fehlt, kann sie im Computer nicht ergänzt werden.
Das ist sehr schade, denn sonst würden wir mehr Bilder mit drastisch niedrigen Dosen machen und diese nachträglich “verbessern”. Bei niedriger Dosis bricht das Bildsignal gegenüber dem Rauschen (SNR) ein.
Trotz bescheidener Erfolge bei der Dosisreduktion sollten wir sehr froh sein, dass das digitale Röntgen überhaupt möglich ist; dass es digitales Röntgen gibt und dass wir es ständig verbessern.
verbessern.
Die große verpasste Chance besteht darin, dass der Gesetzgeber nicht gefordert hat,
dass auf jedem Bild steht, mit welcher Dosis es aufgenommen wurde. Technisch kein Problem. Der administrative und finanzielle Aufwand ist minimal.
Innovationen im Strahlenschutz sind noch nie von den Anwendern oder der Industrie ausgegangen. – Der Gesetzgeber hätte es gegen den Widerstand der Anwender und der Industrie festlegen müssen; ein schwieriges Unterfangen.
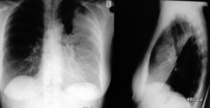
Abb. 6.02: Medizingeschichte. Vergleich unterschiedlicher Strahlung: 50 und 75 kV “Härte” bei einem Pneumothorax links und Wassereinlagerung der Lungen.
Dazu links unterexponiert, recht überexponiert.

Abb. 6.03 Überbelichtete (zu schwarze) Aufnahme eines Bruches des Oberarmknochens. Wie konnte die Fehlbelichtung passieren?

6.02: Bei diesem Patienten liegt eine sehr kurzfristige Kontrolle vor. Es wäre unstatthaft, solche schlechten Aufnahmen absichtlich zum Vergleich anzufertigen. Beide kV-Zahlen sind nach heutiger Auffassung zu niedrig und würden zu Konsequenzen durch die ärztlichen Stellen führen.
Dieses medizingeschichtliche Beispiel ist gerade wegen der Qualitätsmängel didaktisch wertvoll.
Die 50 kV-Aufnahme links ist unterexponiert und daher zu weiß (hell im landläufigen Sinne). Das passiert bei niedrigen kV-Zahlen besonders leicht). Das zusätzliche Lungenödem kommt fast übertrieben zur Darstellung. Teilweise Auslöschung der Zwerchfellkonturen. Mantelförmiger Pneumothorax linksseitig.
Die rechte Aufnahme mit 70 kV ist überexponiert und daher zu schwarz.
Die Verdichtung der Lunge ist im Bereich der teilkollabierten linken
Lunge am stärksten ausgeprägt.
Problem solcher fehlerhafter Parameter: die Abgrenzung Artefakt( Pathologie und die Quantifizierung der Pathologie wird schwierig.
6.03: Subkapitalen Humerusfraktur. Die Bedingungen für das Missglücken dieser Aufnahme sind physikalisch nachvollziehbar: Durch mangelhafte Zentrierung auf den Oberarmknochens kam die Messkammer (Teil des Iontomaten) über dem Schrittmacheraggregat zu liegen.
Infolgedessen meldet der Iontomat bei der Belichtung eine zu niedrige Dosis und wählt den Röhrenstrom zu hoch, im für Ausgleich zu sorgen.
Klassischer Fehler der automatisierten Belichtung (Sie lässt die Kv frei wählen, nimmt uns die Einstellung (besser mehr nach lateral und oben zentrieren) der mAs ab. Im Gegensatz dazu wählen wir bei der “freien Belichtung beides frei.) .
Es gibt zwei Möglichkeiten der Korrektur, die kombiniert werden können:
Korrektur der Einstellung und/oder Übergang auf eine manuelle Einstellung der Belichtung, da der Iontomat hier die anatomischen Gegebenheiten (Fraktur) überfordert ist.
Abb. 6.04: Ausschnitt aus einer seitlichen Thoraxaufnahme.

6.04: Alte Starr-Edwards-Klappe. Ein analoges Modell wurde 1951 von Hufnagel konstruiert. Solche Klappen wurden bis 2003 hergestellt.(siehe auch Beitrag 11). Moderne künstliche und auch biologische Herzklappen lassen mehr Blut durch und beeinträchtigen die roten Blutkörperchen weniger.
Was sehen wir? Wie ist das zu erklären?
Während eines Herzschlags wird die Klappe und besonders die bewegliche Kugel “beleuchtet” und verschwimmt. Solange sie sich zwischen den beiden Herzphasen bewegt, war sie fast vollständig verschwommen. Diese Unschärfe kommt in der Systole und Diastole praktisch zum Stillstand. Daher ist die Kugel in zwei Positionen relativ scharf abgebildet (einmal: in Kontakt mit dem Klappenring und in der anderen Phase: frei im Körbchen).
Der Klappenring bewegt sich nur geringfügig.
Die Kugel wird in den Endpositionen dieser Bewegung dargestellt.
Fazit: Es handelt sich nicht um eine Doppelbelichtung, sondern um eine
Bewegung des Objektes mit Stillstand am Anfang und am Ende der Bewegung.
Was auf den ersten Blick wie ein künstliches Durcheinander aussieht, ist die logische Konsequenz der Klappenkonstruktion und der Klappenbewegung. –
Man erkennt die Vergrößerung des linken Vorhofs, die den hinteren Herzraum einengt.
den hinteren Herzraum einengt. Dass es sich tatsächlich um den linken Vorhof handelt, erkennt man an der Verlagerung der mit Kontrastmittel markierten Speiseröhre.
Abb. 6.06: Kontrastmittel-Darstellung der Bauchaorta. Katheter-Angiographie

6.06: Punktionsort ist eine Arterie in der rechten Leiste, Legen eines Pigtail-Katheters in die oberen Bauchaorta, als Kontrastmittel: Solutrast 370.
Keine Stenose der Bauchaorta und ihrer großen Äste. Insbesondere keine Nierenarterienstenose.
Da modernere, weniger invasive Methoden zur Verfügung stehen, wird diese Untersuchungstechnik heutzutage seltener eingesetzt (allerdings ist sie bei interventionellen Maßnahmen erforderlich).
Ist das Bild auffällig? Ist etwas “verfremdet”, künstlich betont? Ist es ein Fehler oder Absicht?
Das Bild ist eine “digitale Subtraktion”. Ein hier nicht gezeigtes Bild wird von einem anderen, ebenfalls nicht gezeigten Bild subtrahiert . Gezeigt wird nur das Ergebnis der Subtraktion.
Diese Quellbilder sind im Fachjargon “Maske” und “Füllbild”. Im verwendeten Quellbild ist bereits etwas KM injiziert. Die Subtraktion zeigt uns: in welcher Menge und wo ist es zwischen dem ersten und dem zweiten Quellbild mehr geworden.
Der Trick ist, dass hier kein großer Kontrast angestrebt wurde, da die beiden Bilder, die für die Subtraktion verwendet wurden, sehr nahe beieinander liegen: 0,5 sec. Diese Methode ist einer von vielen Wegen bei der Nachbearbeitung. Der hier angewendete Weg sagt viel über die Funktion: Was hat sich in dem Bild innerhalb von Sekundenbruchteilen verändert? Wie weit ist das gespritzt Mittel, der KM-Bolus in so kurzem Zeitraum fortgeschritten? Das kann bei Erkrankungen der Gefäßwand interessant werden. Ob dieser “Vorschub” dunkel oder hell dargestellt wird, ist unerheblich. Das hat der Untersucher bei der Nachbearbeitung in der Hand.
In der digitalen Welt ist “dunkel oder hell” eine Frage der Festlegung. Das ist genauso willkürlich festgelegt wie die Frage, ob der Strom von + nach -, oder von – nach + fließt.
Die zeitliche Nähe von Maske und Füllungsbild dämpft den Kontrast. Durch diese Dämpfung kommt ein anderes Phänomen deutlicher heraus. Auch dieser hat einen “künstlichen” Charakter: Die Gefäße sind durch Pulsation leicht verschoben. Das verursacht ein “Pseudo-Relief”:
Die Arterien sind an einer Seite dunkel, an der gegenüberliegenden hell. Es entsteht ein (scheinbarer) räumlicher Eindruck. In Wirklichkeit trägt dieses Phänomen nichts zur räumlichen Orientierung bei.
Die “räumlichen Orientierung” ist im konventionellen Röntgenbild bekanntermaßen sehr problematisch. Psychologische Phänomene verwirren unsere Vorstellungskraft (Becken-Schrauben, siehe 09 und 10 Strahlenschutz). Allerdings gibt es eine “besondere Technik des Reliefs”, die tatsächlich eine echte Raum-Information ermöglicht (siehe Beitrag 15).
Abb.6.07:Kompression eines Schaumstoffkissens in der CT

6. 07: “Schaum” bedeutet: Der Kunststoff ist nicht rein, sondern durch eine zweite Komponente (hier Luft) “aufgelockert”.
Es liegt also ein Zweikomponentensystem vor:
Luft und Kunststoff.
Die “Dichten” der beiden Komponenten (und ihre Konzentrationen) gehen in die Dichte des Gemisches ein! (Komponentenhypothese, Rätsel 70 in 100 Jahre Röntgen, 100 Rätsel)
a) Warum hat das Kissen diesen hellen Rand von ca 1 mm Dicke? Hier ist das Material nicht lufthaltig, also
– keine “Zwei-Komponenten-Substanz”, sondern eine “Reinsubstanz mit entsprechend höherer Dichte (und Ordnungszahl)
b) Was bedeutet der helle Fleck (roter Pfeilkopf)?
Im Knick des Kissens wird unter Druck die Luftkomponente reduziert und damit lokal der relative Anteil von “Kunststoff” erhöht. Daher die Zone der stärkeren Strahlenschwächung.
Abb. 6.08 Spiegelbildlich sind zweimal die rechte Thoraxhälfte des gleichen Patienten gegenüber- gestellt. Was ist der Unterschied?
6.08: Beide Bilder zeigen streifige weiße Flecken im rechten Mittelfeld. In Kenntnis der Krankengeschichte des Patienten können wir das als ein “Residuum” deuten, als Ausheilungsstadium einer durchgemachten Tuberkulose.
Wenn wir die Vorgeschichte nicht kennen, müssen wir uns zu diesem Befund einige Recherchen anstellen.
Warum sind die beiden Bilder so unterschiedlich?
Die gleiche Lungenhälfte ist im Liegen und im Stehen aufgenommen.
Weil hier vom gleichen Patienten Aufnahmen im Liegen und Stehen
existieren, ist es wichtig daraus zu lernen, auch wenn man den Sinn von zwei Aufnahmen kritisch betrachten muss.
Die rechte Bildhälfte stammt von einem Thorax im Stehen: der weltweite Standard.
Die linke Bildhälfte ist “im Liegen” geröntgt, sie zeigt einen höheren Stand des Zwerchfelles; breitere Mediastinalkontur durch die Stauung der oberen Hohlvene (Cava superior). Die Gefäße in der Lunge – es handelt sich hauptsächlich um Venen – sind stärker gefüllt.
Diese Aufnahme links wurde durchgeführt zu einer Herzvolumenmessung, die man vor etlichen Jahren für wichtig erachtete. Die Methode erforderte aus Gründen der Normierung eine Thoraxaufnahme im Liegen. (Heute gibt es viel bessere Mess-Methoden am Herzen).
Würde eine “Steh-Aufnahme” so wie das linke Bild aussehen, müsste man eine Stauung (im großen und kleinen Kreislauf) vermuten.
Außerdem würde man eine unzureichende Entfaltung der Lunge registrieren.
Insgesamt ist die Aufnahme im Liegen sozusagen physiologisch minderwertig. Sie ist sozusagen künstlich gestört. (siehe auch Abb.10b). Das Artefakt liegt (möglicherweise) in der falschen Indikation zur Untersuchung im Liegen. Damit ein Artefakt entsteht, ist etwas schief gelaufen: Technik, Planung, Interpretation.
Abb.10a: Der Summationseffekt im Röntgen demonstriert an Eierschalen

Abb.10b: Thorax in Inspiration und Expiration

6.10a: Eine schöne Demonstration des Summationseffektes. Fragmente von Eierschalen befinden sich ein einem Gel. Wo sie sich überlagern wird die Strahlenschwächung viel stärker, wo sie durch feine Bruchlinien distanziert sind, zeigen sich diese als Linien geringerer Schwächung ab. Einzelne Luftblasen in dem Gel sorgen für einen negativen Summationseffekt, sie bilden sich dunkel ab. (Im Fall der Überlagerung, wird die resultierende Dicke leicht überschätzt; sind es doch lediglich zwei Eierschalen).
6.10b: Was unterscheidet beide Thoraces?
Schlüssel zur Lösung ist der
unterschiedliche Zwerchfellstand. Inspiration und Exspiration.
Oben: Ausatmung= Exspiration
Unten: Einatmung= Inspiration
Eindrucksvoll ist die Verdichtung vor allem der basalen
Lungenabschnitte bei der Exspiration.
Beide Aufnahmen wurden wegen hartnäckigem Verdacht auf
Pneumothorax durchgeführt.
Die Aufnahme in Ausatmung hat eine kleinen Vorteil: Durch die Verdichtung der Lunge erhält der Pneumothorax einen relativ besseren
Kontrast und wird (-ich weiß nicht in welcher Häufigkeit-) besser dargestellt. Abgesehen davon ist eine solche Aufnahme in Exspiration
diagnostisch unergiebiger und daher qualitativ schlechter.
Statt dieser Diskussion hätte man sich heute gleich zu einer Computertomographie entschlossen.
Im weitesten Sinne ist die Exspiration ein Artefakt; typisch für den
Artefakt ist, dass er zu Fehldiagnosen Anlass geben könnte. Um diese
zu vermeiden muss man mit den Besonderheiten der unvollständig
entfalteten Lunge sehr vertraut sein. (Siehe auch das ähnliche Problem: “Thorax Stehen/Liegen”…)
Abb. 6.11: Summationseffekt bei einer Verrenkung in einem der Gelenke des Fingers (proximales Interphalangealgelenk)

6. 11. Luxationen sind im Röntgenbild dadurch charakterisiert, dass die Silhouetten der beiden gelenkbildenden Teile, Kopf und Pfanne nicht harmonisch zueinander passen. Sie müssen nicht auseinander gezogen sein, sondern sie können sich selbstverständlich auch “unharmonisch” überlagern. Dann entsteht ein pathologischer Summationseffekt. Dieses Bild ist für jeden wichtig, der mit der Radiologie beginnt.
Man mag zu Recht ein wenden: die zweite Ebene würde die Situation “narrensicher” aufklären. – Das stimmt, ist aber eine andere Geschichte.
(Übersehenen Luxationen machen einen beträchtlichen Teil der radiologischen Fehldiagnosen aus.)
Abb. 6.12: Medizinhistorische Aufnahme. Späte Schwangerschaft

6.12. Die Aufnahme wird gezeigt, um die Aufmerksamkeit auf den Strahlenschutz zu lenken.
Ich habe eine absichtliche oder versehentliche Aufnahme einer Schwangerschaft nicht mehr erlebt.
Wer die Fälle 6.10a, 11 und 13 zum Summationseffekt schon durchdacht hat, soll sich die Frage stellen: Um was handelt es sich bei dem hellen ringförmigen Gebilde, das mit einem Fragezeichen markiert ist? Ein Kunstprodukt? Nein, ein Effekt der Physik. Der Summationseffekt.
Es handelt sich um einen axial getroffenen Beinknochen. Selbst bei den zarten Röhrenknochen des Embryos summiert sich (durch diese zufällig entstandene Projektion) so viel Knochen-Material, dass ein intensiv heller “Ring-Schatten” resultiert.
Abb. 6.13b: Summationseffekt birgt auch Fehlerquellen

6.13 Linke Bildhälfte: Der im proximalen Abschnitt stark erweiterte Ductus choledochus (Gallengang) überlagert sich mit dem deutlich erweiterten Ductus cysticus (Gallenblasengang). Der Ductus cysticus ist kaum zu erkennen, er verschwindet fast im intensiv kontrastierten Choledochus.
Ist das nicht ein beängstigendes Phänomen? Eine Bildinformation wird einfach ausgelöscht. Wir haben doch immer gehofft, dass man beim Röntgen nichts verdecken kann, dass jedes noch so tief verborgene Teil zum Bild beiträgt. So unbestechlich und “fehlerfrei” ist das Röntgen eben doch nicht.
Eine zu geringe Dosis begünstigt diese Verdeckung ungemein.Hier ist die Dosis nicht grundsätzlich zu niedrig; nur für einen so dicken und so stark kontrastierten Gallegang ist sie gefährlich niedig! So können sich auch Konkremente im Gallengang der Erkennung entziehen, so wie hier der Cysticus beinahe verschwindet. Wenn das Problem erkannt ist, ist es schon gebannt:
Rechter Bildausschnitt: Hier ist etwas pysiol. Kochsalzlösung nachgespritzt; der Choledochus wird transparenter, der Cystikus erscheint jetzt sehr deutlich.
Gegen dieses heimtückische Phänomen des Zudeckens hilft auch:
– nicht zu niedrige kV, (was auch dem Strahlenschutz zu gute
kommt)
– wie hier demonstriert – nicht zu hohe Kontrastmittelkonzentration, (mancher unterliegt dem Missverständnis: “viel” sei immer gut)
– regelmäßig mit physiologischer Kochsalzlösung
nachspritzen und das Gangsystem auswaschen.
– Beobachtung schon während der KM-Füllung, wenn noch wenig KM einen nicht zu intensiven Kontrast hervorruft.
-Beobachtung (mit gepulster DL!) während des KM-Abflusses.
Hier hat die Durchleuchtung einen Sinn. Es wird dabei vorausgesetzt, dass gepulste Durchleuchtung und gute Einblendung angewendet
werden.
Durchleuchtung bedarf strenger Kontrolle, sie fordert
vermehrte Aufmerksamkeit für den Strahlenschutz.
Zwei Standardprojektionen genügen bei den meisten Skelettaufnahmen, aber nicht bei allen (denke an Naviculare oder Radiusköpfchen).
Wir sehen, es kommt auf das richtige Maß an. Ein zu wenig und zu viel sind möglicherweise verhängnisvoll.
Abb. 6.14: Ist hier das Brustbein-Schlüsselbeingelenk abgebildet? (roter Pfeilkopf)

6.14. Zur Entspannung ein nicht ganz so ernster Fall:
Nein, hier hat sich ein echtes Artefakt “eingeschlichen”:
Projektion der Hand auf die Hals-/Thoraxregion. Kein
Sternoklavikulargelenk!
In der Eile, einem Unfallopfer zu helfen, wurde eine missglückte Aufnahme mit einer Fülle weiterer Fehler angefertigt:
Offenbar ist die Halsregion dieses Kindes von der Hand eines erwachsenen Helfers überlagert. Rote Pfeilspitze: Metacarpophalangealgelenk.
Die Untersuchung liegt ca. 6 Jahrzehnte zurück und wurde fernab des Krankenhauses archiviert, wo ich sie aufgefunden habe.
Seit etwa 37 Jahren kontrollieren durch staatliche Verordnung eingerichtete “Ärztliche Stellen” die radiologische Qualität. In einem solchen Fall würden sie feststellen: Röntgenuntersuchung misslungen, fragliche Indikation.
Abb. 6.14b: Eine oder zwei Schrauben? Ein Befund kann (in hellen Bildanteilen) zugedecken. Ein weiterer Befund ist damit nicht erkennbar .

6.14b: Die Franzosen verwenden eine Satz aus der Verkehrs-Psychologie: “un train peut en cacher un autre”.
Ein Fallstrick. Aber keine “Nachlässigkeit”, keine aus artifiziellen Gründen erzeugte Erschwernis, sondern eine Konsequenz aus der Physik.
Entsprechend ist diese Fehlermöglichkeit nicht durch bessere Anwendungstechnik zu kompensieren. Sie entsteht im Kopf des Betrachters und kann auch dort berichtigt werden:
“Fehler kennen” öffnet der Vermeidung die Tür. Typische Befunde zu kennen ist eine Voraussetzung für die Diagnose.
Auch die Zahl von Fremdkörpern wird nicht selten zu niedrig angegeben ; es werden 3 entfernt und bei der Kontrolle ist noch ein 4. vorhanden.
Abb.6.14c: Wie weit liegt eine der beiden von medial eingebrachten Schrauben im oberen Sprunggelenk?

Abb.6.14d: Unter Durchleuchtung wurde eine Projektion mit dem weitesten Abstand der Schraubernspitze vom Talus gesucht und dokumentiert! Das spitzennahe Gewinde erreicht die Talus-Compacta

6.14.c +d: Hier ist , wie immer die Klinik sehr wichtig.
(Die Bilder sind invertiert: Schrauben und Knochen sind dunkel!)
Wenn der Verdacht besteht, sind zwei Standard-Ebenen zum Ausschluss des Verdachtes nicht ausreichend.
6.14d: Unter DL muss man den Strahlengang um die Talusrolle kippen und den geringsten Abstand der Schraubenspitzte von der Talusrolle (Grenzlamelle) bestimmen.
Abb. 6.15: Ein “schönes” Bild der Knochenstruktur des Brustbeins (Sternum)

6.15. Das Bild ist von guter Qualität. Die Ursache ist künstlich:
Es ist ein Präparat! Dadurch wird künstlich jede
Überlagerungen vermieden und optimale Bedingungen
gewährleistet. Auch die Darstellung des unverkalkten Knorpels ist ungewöhnlich gut. Innerhalb der Weichteile wäre dieser unverkalkte Knorpel nicht abgrenzbar. (Siehe auch 09 und 10 Strahlenschutz: kindliches Becken)
Die zentralen Verknöcherungen der Rippenknorpel in der Nähe der gelenkigen Verbindung mit dem Corpus sind gut dargestellt.
Es gibt noch eine andere Form der Verknöcherung der Rippenknorpel; da wird der brustbeinnahe Knorpel manschettenförmig umwachsen.
Besondere Qualität kann artifizielle Ursachen haben.
6.16: Zwei Patienten, zwei Befunde, die man als Artefakte einordnen kann.
Liegt eine Konkrement im Harnleiter vor?

6.16 Links: Iatrogen in das Lumen eingebrachte Luftblase bei retrograder Darstellung des Ureters.
Die Unterscheidung zwischen künstlichen Luftblasen, Konkrementen oder Raumforderungen ist nicht einfach. Ein erster Eindruck reicht nicht aus. Eine Dokumentation sollte angefertigt sein.
Bei der Unterscheidung hilft die Variabilität der Luftblasen bei
bei Lageveränderung, Atembewegung, Kompression und physiologischer Harnleiterbewegung.
Die physikalischen und physiologischen Besonderheiten der Luft im Vergleich zum harten und weichen Weichgewebe helfen bei der Unterscheidung.
Rechts ein anderer Erkrankungsfall: Luftblasen im Darm überlagern den Harnleiter und können dort einen pathologischen Befund vortäuschen. Hier zwischen Fakt und Artefakt zu unterscheiden, ist ein klassisches Problem.
Eine kleine Variation der Projektion kann Klarheit bringen.
Abb. 6.17: Notfall, Sepsis. Fakt oder Artefakt?

Abb. 6.17:
Nephritis durch gasbildenden Bazillus. Sepsis.
Das Nierenparenchym ist streifig und fleckig mit Gas aufgetrieben.
Das Bild ist so ungewöhnlich und grotesk, dass man einen Moment vermuten könnte und hofft, einem Kunstprodukt “aufzusitzen”. Die Klinik beherrscht die Diagnostik.
Der ungewöhnliche Befund passt sehr gut zu dem dramatischen Krankheitsbild.
Die sich rasch progrediente Sepsis war trotz unverzüglicher Nephrektomie nicht beherrschbar und endete tödlich.
Mit bestem Dank für die freundliche Überlassung durch Herrn Kollegen Dr. Osman Mahmalat /Hagen
Abb. 6.18: Eingriff bei Blutung aus Krampfadern der Speiseröhre
und des Magens. Zugrundeliegend eine langjährige Leberzirrhose.

6.18. Die perakuten Blutungen wurden mit einem länglichen Ballon im distalen Ösophagus und einem runden Ballon im Magenfundus behandelt.
Beide Ballons sind luftgefüllt und verdrängen das Weichgewebe. Daher nehmen sie “mehr weg” als sie dazugeben. Deshalb
sind sie dunkel dargestellt.
– Die Mehrheit der TeilnehmerInnen aus meinem Kurs tat sich mit diesem Satz zunächst schwer. –
Wie würde der Ballon aussehen, wenn man ihn außerhalb des Körpers aufblasen, auf den Bauch legen und röntgen würde ? Nirgends wäre der Ballon dunkel! Er würde sich überhaupt wenig abbilden; nur die tangential getroffene Wand des Ballons würde eine gebogene, sehr feine weiße Linien verursachen.
Dieses Röntgenbild ist kein Artefakt sondern es ist aus den Regeln der Physik zu verstehen.
Der zweite (scheinbar) etwas dickere Schlauch – links von den Mitte – liegt außerhalb des Körpers.
(Die o.g. Regeln wurden auch in 09 an einem Artefakt : einer Glühbirne im Darm demonstriert. Die Deutung dieses Artefakts wird durch die Kenntnis des obigen Bildes sehr erleichtert.
Abb. 6.19: Magen-Kuppel (Fundus) im Liegen durch einen Schluck Kontrastmittel markiert. Dieses banale Bild ist lehrreich für alle Berufsgruppen, die für Schwerkranke Verantwortung tragen

6.19. Die hier geschilderte Situation ist für eine Reihe von solchen Patienten der Beginn ihrer letzten Lebensphase. Dabei ist es eine eigentlich harmlose Situation, die mit wenigen Handgriffen und korrekten Anleitungen behoben werden kann. Sie kann unbeachtet zur Gefahr werde!
Die aus mehreren Gründen schlechte Qualität des Bildes darf uns nicht irritieren, da ein wichtiger Sachverhalt aufgeklärt wird.
Der Magenfundus liegt sehr weit hinten (dorsal); in ihm sammelt und staut sich im Liegen viel Flüssigkeit. Daher in dieser Körperlage diese mächtige weiße Fleck. Er entspricht dem geschluckten KM.(In der eigenwilligen Röntgen-Nomenklatur spricht man von einem Schatten, auch wenn etwas im Bild sehr Helles gemeint ist).
Es sammelt sich in der Magenkuppel viel saure Flüssigkeit und kann nicht weiter. Dies führt bei Schwerkranken zu quälendem Aufstoßen von Magensaft und zum Erbrechen mit Komplikationen bis hin zur Aspiration und höchst gefährlicher Lungenentzündung.
Jeder ist angesprochen: Findet man auf dem Rücken liegende Personen vor, die von Aufstoßen, vielleicht sogar Erbrechen gequält werden, muss man sie behutsam, aber sofort auf die Seite drehen. (auf die rechte Seite), Oberkörper etwas anheben.
Der Magenfundus kann sich dann über den Corpus (den mittleren Teil des Magens) und das Antrum entleeren. Die Menschen sind oft wunderbar erleichtert. Dieses Bild sollten sich alle Pflegenden und Ärzte zu Herzen nehmen!
Übrigens ist in diesem Bild auch das Corpus des Magens dargestellt. Der lufthaltige Magenanteil ist “dunkel” dargestellt. Da kann – wie gesagt – die “Brühe” nicht rein weil dieser Corps/Antrum des Magens weit vorne liegt.
Ist der kräftige helle Fleck ein Artefakt?
Nein, es ist ein physiologischer Befund. Ein Befund, der für unsere Vorstellung vom Magen sehr hilfreich ist und uns lehrt, dem Kranken mit einfachen Maßnahmen entscheident zu helfen.
Abb.6.20: Unterschiedliche Darstellung von Gallensteinen in und außerhalb der Kontrastgalle.

6 .20 : Endoskopisch (vom Verdauungstrakt aus) wird der Gallengang
mit Kontrastmittel gefüllt. Das Verfahren heißt ERCP.
In der Gallenblase und im Gallengang sind- wie später nachgewiesen wurde – Steine mit der gleichen Zusammensetzung (aus Cholesterin, Kalk und
Pigment). Man wollte es zunächst nicht glauben. Der Kalk ist zentral lokalisiert.
Obwohl die Steine gleich zusammengesetzt sind, wirkt
der Stein im Gallengang im Vergleich zu den Steinen in der Gallenblase sehr dunkel. Dieser erstaunliche Effekt scheint
durch die umgebende Kontrastgalle hervorgerufen zu werden.
Bei den Steinen in der Gallenblase erkennt man nur das kalkhaltige Zentrum. Der Mantel dieser Gallenblasensteine hebt sich nicht von der Gallenflüssigkeit ab und wird daher nicht dargestellt.
Neben der Zusammensetzung wird auch die Größe falsch eingeschätzt:
Das Konkrement im Gallengang wird in seiner Größe richtig eingeschätzt.
Die Konkremente in der Gallenblase werden – im Gegensatz zu denen im Gallengang – in ihrer Größe völlig unterschätzt.
Auffällig ist nur, dass sie untereinander einen Abstand “einhalten”. Dies könnte indirekt darauf hindeuten, dass sie größer sind als spontan vermutet.
Warum passiert dieser Fehler? Ist es ein Artefakt? Es ist eher eine Fehleinschätzung der physikalischen Gesetze.
Abb. 6.21: Unterschiedliche Darstellung von Gallesteinen in Abhängigkeit von der Körperlage. Kontrastierte Gallenblase im Stehen (links) im Liegen (rechts)

Abb.6.22: Was unterscheidet diese Bilder von dem vorangegangenen

6.21 Oberes Bildpaar: Untersuchung nach Gallekontrastmittel intravenös. Zarter Gallengang. Gallenblase – links im Stehen – rechts in Rückenlage.
Im Stehen (linke Bildhälfte) ist die Mehrzahl der Gallenblasensteine nach unten abgesackt. Nur einige sind anscheinend an der dorso- kaudalen Wand, Infundibulum-nahe hängen geblieben.
Grundsätzlich ordnen sich Körper in Flüssigkeit entsprechend ihrer Dichte an: Entsprechend ihrer relativen Dichte im Vergleich zur umgebenden Flüssigkeit. Körper die schwerer sind als diese Flüssigkeit sinken zum Boden ab; solche mit niedrigerer Dichte als die Flüssigkeit schwimmen nach oben und schließlich schweben solche Körper, die zur Flüssigkeit identische Dichte haben. Das ist auch bekannt von der Ellermannchen Probe mit der die Dichten von Körpern bestimmt werden können (siehe Schmitt, Hoffmann und Andermann, Virchows Archiv 1975) .
In unserem Fall beweist die Aufnahme im Stehen, dass zumindest die Mehrzahl der Steine dichter ist als die der (kontrastierten) Galleflüssigkeit.
Es gibt jetzt ein merkwürdiges Phänomen: diese Kontrastgalle schwächt die die Strahlung offenbar stärker als das dichtere Gemisch der abgesackten Steine. Nebenbei gibt es zwischen den Gallensteinen noch eine kleine Menge von kontrastierter Galleflüssigkeit , die für den Effekt unerheblich ist.
Die Kontrastgalle ist im Röntgenbild heller als die Ansammlung der abgesackten Steine. Es bildet sich ein horizontaler “Spiegel” zwischen den Konkrementen “unten” und der Galleflüssigkeit “oben”.
Zur Auflösung dieser Paradoxie muss man beachten dass, Strahlenschwächung nicht nur von der Dichte sondern auch von der effektiven Ordnungszahl abhängt . Letztere ist durch den Jod-Gehalt wirkungsvoll hoch. Das bewirkt die gegenüber dem Stein-Gemisch eindrucksvolle Strahlenschwächung mit der hellen Darstellung im Röntgenverfahren. Die Dichte dieser Kontrastgalle ist allerdings so wenig erhöht, dass sie den Steinen erlaubt nach unten abzusinken.
In der rechten Bildhälfte in Rückenlage verteilt sich das “Stein-Material” auf die ganze Gallenblase. Wir können es in dieser Aufsicht nicht sehen; aber auch hier sind Gallensteine unten, die Kontrastgalle oben. Dass dies so ist, erklärt die Aufnahme im Stehen, aber auch die Tatsache, dass im Liegen die Steine sich im tiefer liegenden Bereich des Infundibulum ansammeln.
Man muss die Naturgesetze anwenden, um die Bilder zu verstehen; es ist kein Kunstprodukt.
6.22 Unteres Bildpaar: Bei diesem anderen Erkrankten wurde kein Gallekontrastmittel gegeben. Trotzdem sind 2 Phänomene sehr ähnlich wie beim vorangegangenen Erkrankungsfall. Die Steine ordnen sich abhängig vom Liegen (linkes Bild) und Stehen (rechtes Bild) irgendwie an. Weiterhin ist die Galleflüssigkeit heller als die Steine, sie hat eindeutig eine stärkere Strahlenschwächung als das Steinmaterial. Es handelt sich um multiple in ihrer Größe wahrscheinlich nicht einheitliche, nicht exakt rundliche Konkremente. Da hier kein gallegängiges Kontrastmittel verabreicht wurde, muss es sich um eine Art “Kalkmilch”, sozusagen ein flüssiges “Steinmaterial” handeln. Diese merkwürdige, pathologische Flüssigkeit in der Gallenblase ist nicht nur schattengebender als die Steine, sondern auch dichter als die Mehrzahl Steine, die auf dem rechten Bild im Stehen überwiegend im oberen Bereich der Kalkmilch schwimmen. Einige scheinen zu schweben, und weitere wenige sinken zum Boden des Fundus ab.
Auch ohne KM hat die Galleflüssigkeit hier eine solche Dichte und auch eine solche Ordnungszahl, dass sie einmal stärker schattengebend ist als das Steinmaterial. Dass sie dichter ist als einige Steine, ergibt sich aus der Tatsache dass diese auf ihr schwimmen oder auf unterschiedlichem Niveau in ihr schweben.
Offenbar ist die Gallenflüssigkeit nicht homogen sondern die beiden genannten physikalischen Eigenschaften nehmen entlang eines Gradienten von oben nach unten zu. Das erlaubt den Steinen deren Zusammensetzung ebenfalls nicht ganz einheitlich ist, sich auf unterschiedlichem Niveau einzustellen.
Das linke Bild ist bei liegendem Patienten aufgenommen: die
Konkremente sind entlang der gesamten Gallenblase
vom Fundus bis zum Infundibulum ausgestreut. Nicht ganz geklärt ist, warum die dichte Flüssigkeit im Fundus nicht in Richtung auf das Infundibulum ausläuft. Wahrscheinlich besteht eine Zähigkeit der Galleflüssigkeit ,sodass diese Einstellung entsprechend der Dichte mit einer gewissen Verzögerung erfolgt. Diesen letzten Beweis sind wir schuldig geblieben.
(siehe WGH Schmitt et al. Dichte der Gallenblasensteine. RöFo 1979)
Das Röntgen spielt seit Jahren keine Rolle mehr bei der Diagnose von Gallenblasensteinen, sondern ist durch die Sonographie abgelöst. Nicht so in Kombination mit der Endoskopie, bei der Diagnostik der Gallenwege z.B. durch ERCP. Für das Verständnis der Pathologie ist das Röntgen unverändert wichtig und stellt eine Herausforderung dar.
6.21: Im Stehen (linke Bildhälfte) ist die Mehrzahl der Gallenblasensteine nach unten abgesackt. Ihre Dichte ist doch noch größer als die der Kontrastgalle. Allerdings schwächt die Kotrastgalle die Strahlung offenbar stärker als das Gemisch der abgesackten Steine, was ja auch nicht frei ist von kontrastierter Galleflüssigkeit. Die Strahlenschwächung hängt ja von der Dichte und der effektiven Ordnungszahl ab . Letztere ist anscheinend durch Jod-Gehalt wirkungsvoll hoch (trotz modereter Höhe der Dichte).
Es bildet sich ein horizontaler “Spiegel” zwischen den Konkrementen “unten” und der Galleflüssigkeit “oben”.
Nur einige wenige Konkremente sind offenbar noch nicht vollständig
nach unten abgerutscht und liegen (medialseitig und Infundibulum-nahe) der Wand der Gallenblase auf. Der Gallengang ist zart.
Im Liegen (rechte Bildhälfte) verteilt sich das “Stein-Material” auf die ganze Gallenblase. Vorwiegend der Auslass-Bereich, das Infundibulum ist aufgefüllt.
Man muss die Naturgesetze anwenden, um das Bild zu verstehe; es ist kein Kunstprodukt.
6.22. Bei diesem anderen Erkrankten sind in der Gallenblase multiple in ihrer Größe nicht einheitliche, nicht exakt rundliche Konkremente. Dazu ein eigentümliches Phänomen die Gallefüssigkeit um die Steine herum ist sehr stark schattengebend; da hier kein gallegängiges Kontrastmittel verabreicht wurde, muss es sich um eine Art “Kalkmilch” handeln.
Gleiches Phänomen, wie im vorangegangenen Fall. Lageveränderungen von Gallensteinen im Stehen und Liegen.
Aber die Galleflüssigkeit ist nicht durch ein Kontrastmittel angefärbt. Letztere ist nicht nur schattengebend, sonder auch dichter als die Steine, die auf dem rechten Bild im Stehen überwiegend im oberen Bereich der Kalkmilch schwimmen.
Auch ohne KM hat die Galleflüssigkeit hier eine solche Dichte und auch eine solche Ordnungszahl, dass sie stärker schattengebend ist als d as Steinmaterial. Dass sie dichter ist als einige Steine, ergibt sich aus der Tatsache dass diese auf ihr schwimmen oder auf unterschiedlichem Niveau in ihr schweben.
Offenbar ist die Gallenflüssigkeit nicht homogen sondern die beiden genannten physikalischen Eigenschaften nehmen entlang eines Gradienten von oben nach unten zu. Das erlaubt den Steinen sich auf unterschiedlichem Niveau einzustellen.
Das linke Bild ist bei liegendem Patienten aufgenommen: die
Konkremente sind entlang der gesamten Gallenblase
vom Fundus bis zum Infundibulum ausgestreut. Nicht ganz geklärt ist, warum die dichte Flüssigkeit im Fundus nicht in Richtung aus das Infundibulum ausläuft. Wahrscheinlich wird dieser Vorgang mit einer gewissen Verzögerung erfolgen.
(siehe WGH Schmitt et al. Dichte der Gallenblasensteine. RöFo 1989)
Das Röntgen spielt seit Jahren keine Rolle mehr bei der Diagnose von Gallenblasensteinen, sondern ist durch die Sonographie abgelöst. Nicht so bei der Diagnostikt der Gallenwege z.B. durch ERCP.
Abb. 6.23a: Scheinbarer Tumor im Magen

6.23a. Dieser kardiologische Patient erhielt vor dieser p.a.- Thoraxaufnahme einen seitlichen Thorax mit einer Markierung des Oesophagus durch einen Schluck Kontrastmittel.
Bei dieser Struktur im Magenfundus denkt man im ersten Moment: Ist das ein großes Karzinom aus! Ein Tumor von KM umspült.
Es ist aber ein Kunstprodukt. Eine Fehlerquelle:
Eine inkomplette also technisch fehlerhafte Füllung. Diese Aufnahme ist ungeeignet zur Magendarstellung.
Wir scheuen uns nicht, diesen Befund bei den Artefakten einzuordnen. Siehe nächste Bilder 23b.
Abb. 6.23b: Derselbe Pseudo- Tumor im Magen in zwei Ebenen

6.23b. Der Füllungsdefekt im Magenfundus (aufgefallen bei einer Thoraxaufnahme) ist in Wirklichkeit eine fehlende Kontrastierung des tspischerweise weit dorsal gelegenen Magenfundus und eine zirkuläre Kontrastierung des Corpus.
Linke Bildhälfte: Von vorne gesehen erscheint eine sichelförmige Struktur. Ein klassisches Artefakt.
Rechte Bildhälfte: So sieht der Befund in der seitlichen Projektion aus. – Der distale Oesophagus ist ebenfalls markiert.
Abb. 6.23c: Wie man das Artefakt 23 a und b zum Verschwinden bringt

6.23c. Bei der Umlagerung kontrastiert der Magenfundus und der falsche Eindruck einer Raumforderung ist verschwunden.
Der Fehler liegt nicht in einem Objekt, das sich an der falschen Stelle befindet. Nicht der Kontrastmittelschluck ist primär falsch, falsch und unvollständig ist unser Verständnis, wie sich das KM ausbreiten und darstellen kann.
Das Artefakt kann auch im Kopf des Betrachters sein. Warum nicht?
Dort ist die Korrektur am einfachsten durch…Lernen.
Abb. 6.24: Ein merkwürdiger «Vorsprung», eine « Warze » am “Aortenknopf”

6.24: Das Topogramm (auch Scanogramm) ist Bestandteil einer CT- Untersuchung. Es ist ein mit der CT hergestelltes Röntgenbild; es hat eine grobe Bildmatrix und braucht (eindrucksvoll) wenig Dosis. Es dient der Planung einer Schichtuntersuchung. Daher auch die scheinbar mangelhafte Einblendung caudal.
Darstellung eines aortic nipple. Es handelt sich um eine harmlose Variante: Entsprechend einer prominenten über den Aortenknopf laufenden Vena intercostalis superior. Einordnung auch in Kap. 7 angebracht.
(Literatur siehe bei Alexander Rosenberger/ Haifa. Die Erstbeschreibung in der MR erfolgte durch Mircea Medrea DEPARTAMENTUL de IMAGISTICÃ ,CT, RMN, Bucurestj).
Abb. 6.24b Klassische Differential- Diagnose des breiten Mediastinum:
Thymom,
Therratom,
Thyreoidea (=Schilddrüse hinter dem Brustbein)
Thomas Hodgkin (wobei auch Sternberg genannt werden könnte)
6.24a. Starke Verbreiterung der Silhouetten des Mittelfells (Mediastinum). Morbus Hodgkin (wobei auch Sternberg genannt werden könnte)
Oben: vor – unten nach Mantelfeldbestrahlung und Chemotherapie des Morbus Hodgkin. 6.24b. .

Abb. 6.25: “Fehlende Zwerchfelle” ?

6.25: Natürlich fehlen die Zwerchfelle nicht. (Sonographisch sind sie
einwandfrei darstellbar). Es fehlen die Zwerchfellsilhouetten, d.h. die
röntgenologische Darstellbarkeit im Standard-Thorax (= Stehend pa) –
Die Mittel- und Unterfelder sind sozusagen durch ein homogenes “Filter” überlagert, es handelt sich um Pleuraergüsse. Sie bestimmen das Thoraxbild. Sie sind in der Sonographie sehr deutlich. Um die Ergüsse zu beweisen und zu quantifizieren bräuchte man den Rö.Thorax nicht. Da leistet die Sonographie sehr gute Dienste.(siehe B.Kurtz und WGH Schmitt, Ultraschall und Pleura)
Nicht ausgelöscht sind die rechte und linke Herzsilhouetten; sie
fehlen oft bei verschiedenen Pneumonien und zwar in ganz
verschiedener Weise. (Siehe die Klassiker Felson, Frazer u. Paré, siehe auch die beiden nächsten Fälle)
Hier liegt eine Veränderung außerhalb der Lunge vor, nämlich ein Erguss um die Lunge herum und dahinter. Keine Erkerankung in der Lunge. Oder doch? Wie so oft gibt es einen winzigen Schönheitsfehler:
Ein zartes Aerobronchogramms, die überdeutliche Darstellung von
kleinen Luftwegen. Da kann man zusätzlich eine
Verdichtung innerhalb der Lungen vermuten.
Ohne Zweifel handelt es sich bei diesem Erkrankungsfall um einen
pathologischen Befund und nicht um ein Kunstprodukt. Sollte eigentlich in Kap.7. Nur wegen der physikalischen Regeln mit den “Silhouetten” passt er hier so gut rein.
Abb. 6.26: Lungenentzündung, genauer Mittellappenpneumonie


6.28. Unten Links: markiert durch die rote Raute, der orthograd (in Aufsicht) durchstrahlte Pleurakalk ist schwach kontrastiert und wird oft
“überstrahlt” und ist dann gar nicht erkennbar.
Unten Rechts: Pleurakalk, der tangential “getroffenen” wird.
Durch eine solche Projektion summiert sich das Material auf eine (ca. 7 x ) längere Strecke (Sterne) und bewirkt eine intensive, scharfe weiße Linie. Das wurde in den 4 Pleura/Thorax-Beiträgen 04-07 an sehr ähnlichen Fällen demonstriert.
Sage nie “der Kalk ist von der Thoraxinnenwand , also ist es die viszerale Pkeura”, das ist großer Blödsinn! Siehe in den genannten Beiträgen.
Abb. 6.28b: Zwei Glassplitter in den Weichteilen, linker Daumen. Warum ist der Fremdkörper in beiden Ebenen so unterschiedlich dargestellt?

6.28b: Die Glassplitter liegen in Höhe des MCP-Gelenks I
volarseitig/ulnar. Es ist das Gelenk zwischen Mittelhand und Daumen, volar bedeutet zur Handfläche hin, ulnar = speichenseitig.
Der größere Splitter wird in einer der beiden Projektionen
deutlich besser abgebildet?
Er wird bei dieser “für die Diagnostik günstigen” Durchstrahlung tangential getroffen und schwächt dadurch die Strahlung stärker (als bei orthograder
Durchstrahlung).
Bitte auch den kleineren, schwer zu erkennenden Glassplitter nicht belassen.
Das sind keine “Artefakte im engeren Sinne”. Es sind echte Befunde von Krankheitswert. -Allenfalls die Tatsache, dass man diese Fremdkörper bei einer schlechten Aufnahme nicht sieht, hat für mich etwas “Artifizielles”. In diesem Fall wäre eine schlechte Aufnahme charakterisiert durch ein unzureichendes Verständnis der Physik. Damit wäre die Chancen der Diagnose gemindert.
Abb. 6.30: Schalenzeichen mit seinen typischen Profilen (= Strahlen- Schwächung entlang einer Strecke)

6.30: Das Profil einer Schale ist nicht einfach zu verstehen. a + b = c in zwei verschiedenen Fällen, einer hyperdensen Schale und einer hypodenen Schale.
Unverstanden kann es mit Artefakten verwechselt werden.
In den beiden Fällen haben wir Summationseffekte von runden hyperdensen oder hypodensen Körpern. Ganz rechts findet sich die Summation von den jeweils links davon befindlichen Körpern. Auch die Profile werden summiert!
Mit anderen Worten: Eine Schale kann man sich zusammengesetzt vorstellen aus einem rundlichen hyperdensen Körper und einem ebenfalls rundlichen hypodensen Körper. Beide haben im Röntgen ein typisches Profil: eine typische Strahlenschwächung entlang einer Strecke; hier entlang der Durchmesser.
Es gibt die beiden Einzelprofilen für die äußere und innere Kontur der Schale
Zusammengesetzt aus der Summe beider Profile entsteht das Profil
einer Schale!
Abb. 6.29 Verschiedene Röhren im Hals: Guedeltubus, Trachealtubus

6.29: Das Röntgenbild ist viel leichter zu verstehen, wenn man die Physik kennt.
Aus “Röhren mit typischerweise dichteren Wänden
ergeben sich im Röntgenbild zwei helle “Schienen” (wie in 6.26 skizziert). D.h. man sieht die Wand dort am deutlichsten, wo sie tangential durchstrahlt wird.
Guedeltubus (2 und 3) und Trachealtubus (4 und 5) werden in typischer Weise abgebildet.
Noch etwas Anatomie:
1 ist … der harte Gaumen,
6 und 7 sind ….. dorsale Begrenzungen der beiden aufsteigenden Äste des Unterkiefers.
Artefakte III, Kapitel 7 : Pathologie, als Artefakt fehlgedeutet
In der Regel ist eine scharfe Grenze zwischen dem Kunstprodukt und dem “echten pathologischen” Befund zu ziehen. Nur manchmal kann es schwierig sein. Medizin ist eben schwierig.
Die Unterscheidung ist wichtig für die Frage, was zu tun ist:
Bei einem pathologischen Befund ist zu entscheiden: Therapie möglich und notwendig?
Beim Artefakt ist irgendein “Therapieversuch” grober Unfug und es sind Strategien zu seiner künftigen Vermeidung gefragt.
Die hier gezeigten Befunde entsprechen ganz überwiegend echten Erkrankungen und sind ebenso wie einige Bilder in Kap. 6 in der Mehrzahl keine Artefakte.
Einige dieser Krankheitsbilder sind jedoch so ungewöhnlich und bizarr, dass auch der Erfahrene an etwas Artifizielles denken könnte. Hoffentlich nur “auf den ersten Blick”.
Die Unterscheidung zwischen normal und pathologisch wird dadurch erleichtert, dass die Zahl der Varienten groß, aber doch so überschaubar ist, dass sie in einigen guten Büchern Köhler/Zimmer; Keats) zusammengestellt sind.
Ein gesunder Knochen (z.B. das Schlüsselbein) variiert von Individuum zu Individuum nur geringfügig.
Mit Varianten kann man in einem Buch weitgehend vollständig erfassen, für den Formenreichtum der Pathologie reichen viele Bücher nicht aus.
Das Lehrbuch von Köhler wurde später von Freyschmidt herausgegeben. Keats im englischen Sprachraum.
Abb. 7.01: Retrograde Auffüllung des Nierenbeckenkelchsystems (via Harnröhre, Harnblase, Harnleiter) mit Kontrastmittel.
Fornix-Ruptur

I7.01: Handelt es sich bei den seltsamen Schlieren und Gangstrukturen an den Rändern des (erweiterten) Nierenbeckenkelchsystem (NBKS) um ein künstliches Produkt? Der Befund ist etwas seltsam, und so ist man geneigt, an seiner Echtheit zu zweifeln. Diese
Meinung könnte bestärkt werden, wenn die Veränderung bei einer Kontrolle röntgenologisch nicht mehr nachweisbar ist.
Es handelt sich aber um einen echten Befund.
Die Fornixruptur (Einriss des Nierenbeckens an seiner Schwachstelle).
Solche Veränderungen entstehen durch eine pathologische Druckerhöhung in den ableitenden Harnwegen. Die Genese ist oft iatrogen. Es besteht eine Klimax:
Bei unnormal erhöhtem Drucks in den ableitenden Harnwegen kommt es zunächst nur zu einer
– “Verfärbung” der Papillen (pyelotubulärer Reflux),
bei stärkerer
Ausprägung:
– KM-Abfluss über die Lymphangien (pyelolymphatischer Reflux) oder
– pyelovenöser Reflux
– nur in schweren Fällen bilden sich Extravasate in das Gewebe des Sinus
renalis. (Beispiel auch in Beitrag 09 und 10)
Solche Bilder entstehen bei einem Verschluss des Harnleiters durch einen Stein , durch einen Tumor oder – so wie hier – durch
retrograde Füllung.
(http://www.students.informatik.uni-luebeck.de/zhb/ediss712.pdf
Schmitt, W.G.H., M.Hofmann et al: Ursachen der Kontrastmittelextravasation. Uro Imaging 1 (1991) 46-52
Schneider, G. et al: Umschriebenes retroperitoneales Extravasat nach Reflux bei Infusionsurographie. Röntgenblätter 30, 474).
Abb. 7.02: Schalig-verkalkter Tonnensteins der Gallenblase oder
Nierenbeckenausgussstein?

7.02: Das bizarre, kalkhaltige Gebilde könnte auf den ersten Blick an ein Artefakt denken lassen. Zum Glück gibt es die Krankengeschichte, die nur in Ausnahmefällen stumm bleibt.
Und es gibt die Möglichkeit weiterer Projektionen und die Sonographie. Beide Lösungen sind richtig: Nicht “entweder/oder” sondern “sowohl als auch”. Überlagerung. Zwei Verkalkungen
summieren sich auf diesem Röntgenbild: der schalig verkalkte Gallensteins und ein
hirschgeweihförmiger Nierenbecken-Ausgussstein.
Abb. 7.03a und b: Stressfraktur?, genauer Insuffizienzfraktur sowohl im distalen Oberschenkelknochen als auch in der proximalen Tibia (Schienbeinkopf).

7.03 b:

7.03. oben a, unten b. Die 73-jährige Patientin leidet seit Jahren an chronischer Polyarthritis. Erst kürzlich wurde sie medikamentös optimal eingestellt, worauf die Patientin regelrecht aufblühte und wieder weite Spaziergänge unternehmen konnte. Hat sie sich zu bald, zu viel zugemutet?
Diese Aktivität wurde durch Schmerzen im linken Kniegelenkunterbrochen. Diese hatten einen anderen Charakter als die ihr seit langer Leidenszeit bekannten CP-Schmerzen.
Die Abbildungen a und b zeigen das linke Kniegelenk.
a und b sind 2 verschiedene Ebenen.Die beiden linken Bilder wurden jeweils 2 Wochen nach Schmerzbeginn aufgenommen. Die beiden rechten Bilder nach mehreren Wochen ohne Überbelastung.
(“distal” bedeutet körperfern, “proximal” körpernah)
Ist die unscharfe, streifige Verdichtung im distalen Femur und in der proximalen Tibia
proximalen Tibia (durch schwarze Punkte markiert) ein echter Befund
oder ein künstliches Produkt? In Frage käme ein technischer Fehler, eine
merkwürdige Überlagerung, etwas, das man als “bedeutungslos” abtun könnte?
Nein! Angesichts der Klinik und zusammen mit dem Röntgenbefund:
Eindeutige Insuffizienzfrakturen!
(Also eine besondere Form der Überlastung eines erkrankten Knochens).
Würde die Überlastung einen gesunden Knochen betreffen,
würde man von einem Stressfraktur sprechen. Da der Knochen vorgeschädigt ist (CP), handelt es sich definitionsgemäß um eine Insuffizienzfraktur.
Der härteste Beweis für diese Hypothese ist:
Die rasche klinische Besserung unter Schonung. Und das völlige Verschwinden dieser Insuffizienzfrakturen bei der Kontrolle nach einem Vierteljahr. So ist es in den jeweils rechten
Bildhälften dokumentiert.
Beides ist vorhanden, es handelt sich um eine echte Pathologie:
Insuffizienzfrakturen sind ein oft unerkanntes
Krankheitsbild. Glücklicherweise sind sie gutartig.
Übrigens: Die a.p. Aufnahme (b) ist ein Beispiel für eine schlechte Röntgenaufnahme: Sie ist so unterbelichtet, dass die Pathologie im Femur nur schwer zu erkennen ist.
Abb. 7.04a +b: Rechtes Kniegelenk in zwei Ebenen. Kalk in Venen oder Arterien (Blutadern oder Schlagadern)?

7.04a+b: Sehr wahrscheinlich handelt es sich:
– einmal um multiple Thromben in Venen, welche geschrumpft, organisiert und verkalkt sind.
– zum anderen um schollige Verkalkungen in einer dilatierten Arteria poplitea. (Arteriosklerose vom Mönckeberg-Typus, markiert in beiden Bildern mit rotem *.
Technische Besonderheit: Die Kassette ist ausnahmsweise medial angestellt. Wir schauen auf das Röntgenbild so, wie der Röntgenstrahl auf das Objekt fällt. Das ist die Übereinkunft.
04 b: weitere Ebene von vorn (a.p.)

Abb. 7.05: Persistierende Apophyse des unteren Gelenkfortsatzes
des 3. Lendenwirbels bei einem Erwachsenen

7.05: 45°-Schrägaufnahme der unteren LWS.
Ausschnitt. Eigentlich hatte man nach einer Spondylolyse gesucht, also eine Unterbrechung im Bogen in der Lamina ( = zwischen oberen und unteren Gelenkfortsätzen).
Die Schrägaufnahme zeigt sehr schön die sogenannte Hundefigur:
Schnauze = Querfortsatz,
Auge = Bogenwurzel,
Ohr = oberer Gelenkfortsatz,
Halsband = Interartikularportion,
Vorderfüße = unterer Gelenkfortsatz.
Der letzgenannte zeigt – mit schwarzem Pfeil markiert – die persistierende Apophyse.
Apophysen sind die Zacken (Fortsätze) des Knochens; hier gibt es im Jugendalter eine Wachstumsfuge, die im Erwachsenenalter
verschlossen wird.
Bei diesem erwachsenen Menschen ist die Wachstumsfuge des Gelenkfortsatzes offen geblieben und stellt sich als eine zarte dunkle
Linie dar.
Dunkle Linien im Röntgenbild gibt es z.B. bei Brüchen (können auch helle Linien sein); sie können auch artifiziell auftreten, z,B. durch einen Knick im Film. Wir sind uns sicher, dass hier ein echter, allerdings harmloser Befund vorliegt. Es ist nicht einfach, den Patienten von der Harmlosigkeit zu überzeugen.
Ob bei dieser Störung der Knochenreifung ein Überlastungsschaden im Jugendalter eine Rolle spielte, ist unklar. Wäre ein solcher Zusammenhang bewiesen, wäre das eine wissenschaftlich wertvolle Beobachtung, für de Patienten ohne Bedeutung, da keine resultierende Beeinträchtigung logisch begründbar ist.
Abb. 7.06: Kartilaginäre Exostosen distaler Oberschenkelknochen
und proximales Schienbein

7.06: Wer diesen Klassiker einmal gesehen hat, erkennt ihn wieder:
Kartilaginäre Exostosen,
Osteochondrome im moderneren Sprachgebrauch.
Eindeutig kein Kunstprodukt sondern ein pathologischer Befund.
Diese Ausstülpungen der Knochenkontur sind knorpelig überzogen und daher als Tastbefund meist prominenter als im Röntgenbild, was nur den Knochen zeigt und den Knorpel nicht erfasst.
Meistens begnügt man sich damit, diese Veränderungen zu beobachten und nur dann chirurgisch zu entfernen, wenn eine deutliche Belästigung des Patienten oder eine Kompression von Leitungsbahnen vorliegt. Sinnlose Eingriffe sind zu vermeiden.
Abb. 7.07 a Trümmerfraktur des Beckens, Zustand nach Verplattung des Hüftknochens linksseitig und chirurgischer Ersatz des Hüftgelenkes.

7.07 b: Anderer Patient mit Lochbildung nach Oberschenkelfraktur
Zu 7.07 a:
Groteske Verformung des Darmbeins mit einem großen runden scharf markieren knöchernen Defekt. Die groben teils aber auch sehr feinen Spangen (rote Pfeilspitzen) lassen Zweifel aufkommen, ob denn eine derartige Verformung echt sein kann. Könnte ein Kunstprodukt die physiologische Strukturen überlagern?
Ist dies vielleicht eine Fehlbildung und überhaupt nicht mit der Trauma-Anamnese in Zusammenhang zu bringen?
Die Aufnahme ist absichtlich in aufgehellter Form dokumentiert. So wie hier abgebildet, wäre sie zur Beurteilung des Hüftgelenks gänzlich ungeeignet.
Tatsächlich sind ungewöhnliche Ausheilungsformen des zertrümmerten Knochens möglich. Dabei entstehen dornartige Pitzen, Spangen und sogar Löcher (siehe Fall b). Ein Beitrag 03 befasst sich nur mit Ausheilungsformen nach Querfortatz.Frakturen.
Abb. 7.08 Meißelfraktur des Radius (= Speichen) -Köpfchens

7.08. Sturz auf die Hand bei ausgestrecktem Arm. Schmerzen außen im Ellenbogen. Die Hand mit dem Unterarm zu drehen ist schmerzhaft eingeschränkt.
Die Aufnahme ist korrekt durchgeführt: die Unterarmknochen liegen parallel zum Film, der Zentralstrahl senkrecht zum Film. Die Einblendung auf das Radiusköpfchen könnte
verbessert werden.
Um das Radiusköpfchen von der Überlagerung durch die benachbarte
Ulna zu befreien, muss entweder der Ellenbogen nach medial gezogen
oder der Strahlengang des Zentralstrahls von medial/oben nach lateral/unten gekippt verlaufen. (Das muss man sich am eigenen Ellenbogen klar machen!).
In dieser Projektion werden vom Radiusköpfchen mehr als zwei Zielaufnahmen in unterschiedlicher Position (d.h. unterschiedlicher Pro- und Supination) angefertigt.
Die Methode wurde von H.G. Schmitt beschrieben, um Frakturen des Radiusköpfchens aufzuspüren, die in nur zwei Ebenen gerne übersehen werden. Ausgeprägte Meißelfrakturen werden nicht übersehen; das dominiert die Klinik und diese verhindert auch freie Oro- und Suppination; diese tut weh!
Diese Verletzuung ist eines der Beispiele, wo im konventionellen Röntgen mehr als zwei Ebenen sinnvoll sind. Wer sich diese Mühe nicht machen will, wendet gleich ein Schichtverfahren an (CT).
Man spricht bei solchen Frakturen auch von Meißelfraktur: Eine durch Schub- oder Scherkräfte bewirkte “Abscherung” von prominenten Knochenabschnitten. Meistens entstehen so “osteoarthikuläre Fragmente”.
(Merke: die Barton-Fraktur ist etwas anderes als die Fraktur des Radiusköpfchens nämlich eine der ca. 4 Formen der distalen Radiusfraktur und zwar die intraartikuläre Form!)
Abb. 7.10 Was sind die dunklen Streifen?

7.10: Atrophie der Muskulatur des großen Gesäßmuskels
9 Monate nach linksseitiger Hemiplegie stürzte der Patient.
Röntgen wegen Verdacht auf Schenkelhalsfraktur. Die Aufnahme ist unterbelichtet und im Hüftgelenk zu stark außenrotiert. Dazu ist sie von dunklen Linien (siehe Pfeilspitzen) überlagert. Handelt es sich um ein Artefakt oder um einen krankhaften Befund, der in einem Zusammenhang mit der Vorgeschichte stehen könnte?
Die glutaeale Muskulatur ist atrophiert: zwischen den (relativ groben) Muskelfasern ist Fett eingelagert, welches sich wegen seiner niedrigeren Dichte vom Muskelgewebes abhebt und diese inhomogen Strukturen verursacht.
Es handelt sich nicht um Adduktoren oder um die zahlreichen Außenrotatoren, da die Streifen bis über den Femur nach lateral ausgedehnt sind.
In der CT ist diese fettige Durchwachsung atrophischer Muskulatur noch viel deutlicher. Sie nimmt z.B. beim M. erector trunci häufig den Raum unter der Muskelfaszie ein und setzt sich zwischen den Muskelfasern fort.
Abb. 7.12: Zustand nach Sternotomie wegen Operation der Herzkranzgefäße. ACVB

Abb. 7.13 Verdickung und pathologische Kontrastmittel-Anreicherung des parietalen Perikards (Herzbeutel) bei großem Bronchial-Karzinom

Erstes Bild 7.12: Retrosternal (siehe Pfeilkopf) ein weichteildichter Begleitschatten entlang der Sternumhinterwand. Ist dies ein künstliches Phänomen oder ein echter Befund?
Es handelt sich um eine Gewebeschicht mit reichlich Fettgewebe.
Eine solche Subpleurale Fettvermehrung könnte ein Symptom sein, welches bei koronarer Herzkrankheit vermehrt gefunden wird. Diesen Eindruck hatte ich jedenfalls bei der Durchsicht einer größeren Zahl von Patienten mit Myokardinfarkt in der Klinik Roderbirken bei Leichlingen. Diese wurden mit einem Kollektiv von Nicht-KHK-Patienten verglichen; auch bei den Nicht- KHK-Patienten war eine relative Häufung von Übergewicht vorhanden:
die subpleurale Fettvermehrung ist anscheinend in der Gruppe der Koronaren Herzkrankheiten gehäuft.
Unteres Bild 7.13: Computertomographie mit i.V. KM; Abbildung einer relativ dicken Schicht.
Man sieht am deutlichsten an der Aorta descendens, dass es sich um
eine Kontrastmittel-Studie (KM) handelt. Der bronchiale Tumor nimmt
teilweise KM auf. Beide Pleuren speichern
deutlich KM; am intensivsten das verdickte parietale Blatt des Perikards. Beide Blätter des Perikards sind durch einen kleineren Erguß distanziert. Diesen Befund könnte man auch sehr gut mit der Sonographie erfassen und quantifizieren.
Artifizielles Phänomen?
Nein, mit einiger Wahrscheinlichkeit steht diese Anreicherung in Zusammenhang mit einem progressiven Tumorleiden.
Keine KM-Anreicherung im sich interlobär fortsetzenden Pleuraerguss
und natürlich auch nicht im Perikarderguss.
Abb. 7.14 Oberlappenpneumonie links
7.14 Die untere Begrenzung des Oberlappens ist anatomisch links anders als rechts. Links gehören noch die beiden Segmente der sog. Lingula dazu. Deshalb hat die “Oberlappen-Pneumonie links” eine ganz andere Form als rechts. (siehe auch den nächsten Fall).
Abb. 7.15: Oberlappenpneumonien beiderseits. (Bild kommt unten)
7.15. Warum stellen sich die Infiltrate auf beiden Seiten so unterschiedlich dar?
Rechts bildet das Nebenseptum eine weitgehend horizontale Begrenzung zwischen krankem Oberlappen und frei belüftetem Mittellappen. So entsteht eine
scharfe Grenze der Lungenverschattung nach unten.
Links fehlt dieser Mittellappen. Die Lingula mit ihrem engen Kontakt zum Herzen gehört zum Oberlappen. Die Oberlappenpneumonie links zeigt auch ein klassisches Aerogronchogramm.
Aus didaktischen Gründen hätten wir uns noch gewünscht, dass die Auslöschung der Herzsilhouette noch deutlicher ausfällt, und dass die
Zwerchfellsilhouette links noch deutlicher erhalten ist. Letztere ist ( nach dem sonographischen Befund) durch einen zusätzlichen kleineren Pleuraerguß ausgelöscht.

Abb. 7.16: Spannungs-Pneumothorax links vor und nach Therapie.

7.16. Bild in zwei Teilen: Es handelt sich nicht um einen Fehler in der Thorax-Projektion (verdrehter Thorax). Es lieget auch keine artifizielle. Die seitlichen Anteile der linken Thoraxhöhle sind frei von Lungenstruktur. Die linke Lunge ist zu einer Kompressionsatelektase verdichtet.
Ein klassisch-pathologisches Bild: Herz und Mediastinum (siehe Trachea) sind stark nach rechts gerückt. Notfall! Spannungspneumothorax links.
Unterer Bildteilvon 7.16: kurz nach Anlage einer Bülau-Drainage ist die Luft
zwischen den Pleura-Blättern beseitigt, die linke Lunge ist wieder entfaltet. Herz und Mediastinum sind in die Mittellage zurückgerückt.
Abb. 7.17: Das Relief des distalen Oesophagus ist ungewöhnlich verformt. Pathologie oder Kunstprodukt?

7.17. Krampfadern der Speiseröhre im Röntgen.
Man könnte fragen, ob ein Fehler in der Untersuchungstechnik vorliegt?
Nein. Es handelt sich um das klassische Bild der Oesophagusvarizen,
die sich als multiple knotige Füllungsdefekte im Oesophaguslumen
bemerkbar machen. Die wichtigste Untersuchungsmethode für diese Erkrankung ist die Endoskopie.
Über die Ursachen von Oesophagusvarizen gibt es ausführliche Beiträge. Hier sei nur gesagt: Die Ursache von solchen Krampfadern im unteren Drittel ist fast immer ein Hochdruck im Bereich der Pfortader. Diesem liegt meistens eine Leberzirrhose zugrunde. Das Blut versucht das Abflusshindernis in der Leber zu umgehen.
Es kann zu einer Blutung kommen. Eine solche macht sich bemerkbar mit Erbrechen von rotem Blut, ganz schwarzem Stuhl (Teerstuhl) und Schock. Letzterer bedeutet der Blutdruck sackt gefährlich ab und der Puls steigt stark an. Das ist ein Notfall. Er erfordert den Kreislauf rasch zu stabilisieren, Blutstillung, die heute endoskopisch gelingt; außerdem die Sorge um die Leberfunktion.
Abb. 7.18a+b: Nach Bauchoperation Fistelöffnung auf der Haut. Fistelfüllung.

718 b: Subtraktionstechnik dieser Filstelfüllung.

7.18a: Diese mit Kontrastmittel aufgefüllte Fistel zeigt ungewöhnliche Strukturen.
Verbindung zur Peritonealhöhle. Es kann sein, dass man sich mit der anatomischen Zuordnung schwer tut. Im linken Bildanteil liegt der Ring eines Anus praeter. Im Übrigen: zipflige Räume, die von Darmschlingen imprimiert werden.
Es besteht also ein freie Verbindung von der Körperoberfläche in die Bauchhöhle. Es handelt sich um echte “Pathologie”.
Bei der Subtraktionstechnik in Bild b (unten) wird ein Bild vor und ein Bild nach Kontrastmittelfüllung abgezogen. Es resultiert ein Bild, was nur das KM darstellt und alle übrigen Strukturen auslöscht. Diese Technik zeigt die Dynamik der Kontrastmittelauffüllung.
Abb. 7.19 Magen-Karzinom in der Computertomographie.
Das Magenkarzinom ist keine Indikation für die Computertomographie. Das ist eine Domäne der Gastroskopie – der Magenspiegelung.
Hier war es eine Zufallsbefund bei einer anderen Fragestellung. Das Bild liefert uns aber eine gute Vorstellung, wie ein Tumor in der Wand wächst diese verdickt und versteift. Er engt das Innere des Magens (das Lumen) ein und kann auch nach außen drücken.
Eine andere, klassische Technik der Darstellung eines Tumors der Magenwand sehen wir im Bild 7.20a.
Abb. 7.20 a: Konventionelle Magendarstellung. Raumforderung der Magenwand an der kleinen Kurvatur.

7.20: Jahre zurückliegende Untersuchung. Ist ein solcher Befund bei einem mit KM angefärbten und mit Luft aufgedehnten Magen artefaktverdächtig?
Nein, die Form der Raumforderung, die Reproduzierbarkeit, die
Aufhebung der Wandbeweglichkeit sprechen für ein Malignom. Dieses wurde gastroskopisch nachgewiesen wurde. Sie ist die Methode der Wahl besonders wegen der Möglichkeit der feingeweblichen Untersuchung (Histologie).
Bei der auffällig glatten Begrenzung kämen auch andere Diagnosen in Frage (Myom, Neurinom).
Abb.7.20b: Großes Magenulcus ein Defekt in der Magenwand

7.20b. Historische Aufnahme. Wir sehen nur das (weiße) Kontrastmittel im Magen. Der Patient hat es geschluckt. Es dringt auch in den großen Krater in der Magenwand ein und füllt ihn auf. Das ist ein Geschwühr, ein Ulcus. Für das Auge schöner ware eine Darstellung im Doppelkontrast. Da wird die Wand – auch die des Ulcus – nur mit Kontrastmittel benetzt, der übrige Magen mit Luft entfaltet. Die Röntgenuntersuchung ist nicht mehr die Methode der Wahl.
Ein Geschwür, ein Ulcus ist etwas anderes als ein Tumor. Beim ersteren fehlt etwas, beim letzteren ist etwas zu viel. Trotzdem ist es nicht so einfach, da sich auch der Tumor ulcerieren kann, sich im Geschwür ein Tumor verbergen kann.
Ein Magenulcus zumal ein so großes ist eine sehr ernste Krankheit.
Abb. 7.21 Fakt oder Artefakt am Übergang Sigma/Descendens?

7.21 Der Befund ist mit einem roten Stern markiert.
Dickdarmkarzinom
Es ist nicht das ins Auge springende, einfache Fallbeispiel, sondern ein Befund mit Tücken:
Durch Überlagerung eines offenbar zirkulär eingeengten deformierten Darmabschnittes mit gesundem, normal aufgeweitetem Sigma. Handelt
es sich um einen Artefakt, etwa eine Verunreinigung, oder eine kurzfristige Kontraktion eines umschriebenen Darmabschnittes?
Der weitere Untersuchungsverlauf ergab Karzinoms; koloskopisch bestätigt und ohne Aufschub reseziert. Der Patient wurde fristgerecht bei Wohlbefinden entlassen. Nach 2 Jahren bestand gute Anastomosenfunktion, kein Hinweis auf Rezidiv oder Progression.
7.21b: Was ist durch Sterne markiert?
7.21b. Leistenbruch dargestellt in einem Colonkontrasteinlauf. Markiert ist die Bruchpforte
Diese Dickdarmdarstellung ist keine Methode zum Nachweis einer Leistenhernie. Wenn sich der Bruch aber so darstellt, ist es für alle lehrreich dieses Bild zu studieren. In diesem Fall lies sich der Bruch gut zurückdrücken. Er war vor der Untersuchung nicht aufgefallen. Ein eingeklemmter (inkarzerierter) Bruch müsste umgehend operiert werden.
Selten ist eine Hernie ein Hinweis, dass sich noch eine ganz andere Darmerkrankung (z.B. ein Malignom) versteckt.
Freut mich, dass Kapitel 7 viel Beachtung findet. – Achten Sie bitte auch auf die echten Kunstprodukte. Z.B. Schwarze Artefakte Beitr. 11 Kap2.
Abb. 6.13: Röntgenbild mit weißen “Linien” im Knochen ??

6.13: Man liegt falsch, sich eine Fraktur nur als schwarze Linie vorzustellen.
Knochenbrüche können sich im Röntgenbild auch als weiße “Linien” abbilden.
Übrigens das Wort “Frakturlinie” leistet einem Missverständnis Vorschub. Eigentlich gibt es nur “Frakturflächen”. Im Röntgenbild erscheinen dann Teile von diesen Frakturflächen als Linien. Eine Frakturfläche kann auch zwei Frakturlinien hervorrufen; sie kann auch gänzlich fehlen und stellt sich möglicherweise in einer anderen Projektion dar.
Fragmente können verschoben sein; der osteoporotische Knochen kann “eingestaucht” sein. So können sich die Fragmente überlagern und im Bild weiße Linien erzeugen. Klassische Beispiele finden sich im Bereich
des Schädels.
Bei diesem Formenreichtum der Frakturen handelt es sich um Anwendungen des Summationseffektes und des Silhouettenzeichens.
6.27 Schwerkranker Patient. Unterlappenpneumonie links. Die Zwrerchfellstruktur ist ausgelöscht, die Herzkontur ist erhalten. Ein anfänglicher Verdacht, es könnte noch eine Verdickung und Verkalkung der Pleura eine Rolle spielen, hat sich nicht bestätigt.


































































